捐卵黑市入侵校园:不打麻药、穿刺下身,卵巢肿成柚子大
2018/05/30 | 作者 甄苗条
摘要:躺上“手术台”之前,捐卵女孩们并不知道自己即将经历什么。当“伤人取卵”成为一门生意,女孩们的健康成了明码标价的廉价商品。
卖卵广告满天飞
空手就能套现至少3万5?
最近,上海一所高校的学生发现,只要一低头,就能在教室抽屉里看到捐卵小广告,扫上面的二维码会跳转到一家捐卵机构。
捐卵海报还明目张胆地贴进了女生寝室楼,硕大的“志愿者”、“爱心捐献”字样,很容易让人把它们与“爱心献血”混为一谈。
轻车熟路地把自己包装成“爱心捐卵”,重点突出高数额回报,这是非法捐卵的常见套路。
这已经不是非法捐卵第一次走进校园了。
“痛,取完卵我都虚脱了,手术台都下不来。”
女大学生小雨刚刚结束她的第一次取卵手术,连麻药都没打。手术的地点,在一幢公寓楼私下改造的“手术室”。
别说正规取卵手术要求的无菌无尘、恒温恒湿的环境了,小雨能没有后遗症地活下来,已经是万幸。
她也是在微信上看到的捐卵广告,“我缺钱,没办法。”
根据看看新闻的报道,在跟地下卵子交易中心谈妥2万5千元报酬后,小雨义无反顾开始了促排卵治疗,最后一次性取出了20颗卵子。
完成取卵几天后,她的QQ在线状态,从“手机在线-4G”悄无声息地变成了“iPhone在线”。
活跃在地下卵子交易市场的卖卵者,大多是像小雨这样20岁左右的大学生,甚至还有高中生。
一个高三女生说,卖卵赚钱是为了还信用卡。
记者问她想好了吗?她嬉笑着回答:想好了。
既没有经济能力,又不具备充分的自我保护意识的年轻女性,是非法卵子交易中介们的主要目标。
网友吐槽随处可见的捐卵广告
但其实,大多数卖卵者就如同砧板上的鱼肉,她们正在为了马上到手的几万元暗自欢喜,殊不知自己正在靠近怎样的未知风险。
谈什么爱心捐卵
先看看取卵有多可怕
这个躺在病床上,插着喉管的女生小陈只有17岁,身体十分虚弱。
被家人送到医院前,她陷入休克倒地不起。
在这之前,她被一次性取出21颗卵子,“报酬”为1万元。
根据广东经济科教频道的采访,在正式取卵前,小陈在路边小诊所里打了7天促排卵针。
正常女性在1个月经周期里,只有1个卵泡会发展成熟。而注射促排卵针,或者服用促排卵药物,会让其他已经停止生长的卵泡继续生长。
一般情况下,每个月经周期里,只有1个卵泡会生长成熟,并排出成熟卵子
促排卵药物迷惑着下丘脑,让下丘脑不停地指示卵巢催熟卵泡。如此一来,原本只会有1个成熟卵泡的卵巢,盛满了多个成熟卵泡。
然后小陈被送到取卵机构,准备做取卵手术。
但很多年轻女性和她一样,直到手术结束,都不知道自己的身体经历过什么。
不像捐精,或者献血,取卵的过程要复杂、“恐怖”得多。
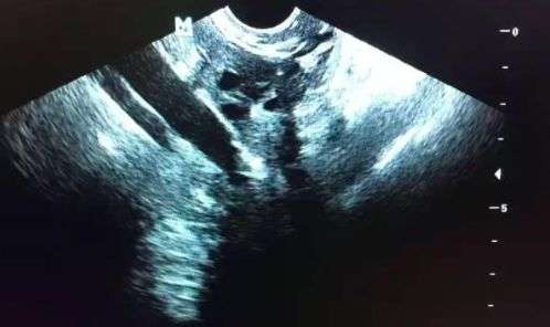
首先,取卵针长这样。不是软管,而是钢针。
取卵针会经左边的阴道B超引导,一同进入阴道
再拉近看一下取卵针,它足足有35厘米长,针口直径2毫米。
不像外科手术,一切都在可视范围内操作,取卵手术是一种侵入性操作,百分百会造成卵巢出血,同时也不排除误伤卵巢周围其他组织的风险。
这一听上去就很恐怖的过程,取卵黑中介当然不会好心做科普。他们只会轻描淡写地说“没什么风险”、“跟打针一样”。
一名博主拨通了捐卵广告上的电话,咨询捐卵过程。图片来源:硬糖视频
通过正规渠道取卵的时候,会有专业的麻醉医生全程参与,全麻后确实不会有什么痛苦。
但当大多数卖卵女孩躺上手术台后,她们的经历却是“没有打麻药”、“痛到虚脱”。这些黑中介所说的“疼痛感像打针一样”完全就是骗局。
因为他们连像样的手术室都配不齐,更别说专业的人员了。
但为了赚点钱而去卖卵的女孩,并不会仔细了解捐卵的过程,和潜在的伤害。
一个做捐卵中介的人说,很多来捐卵的女孩都缺钱,不少还背着巨额校园贷。贴满校园的捐卵小广告让她们相信,只要轻轻松松就能收获上万的报酬。而且介绍朋友来,还能拿提成。
黑中介发在朋友圈的广告
没有经济来源,又涉世未深的女孩们,就这样一步一步,踏入早就设计好的陷阱。
为了那几万块钱
需要冒多大的风险?
放心地把自己的身体交由黑中介,这条所谓的赚钱“捷径”,让不少人付出了血和生命的代价。
可能有些人会觉得,那些极端不走运的情况,一般人碰不上。但一旦遇上,对于卖卵的女孩来说,就是100%的伤害。
在正规的医疗机构做取卵手术(做试管婴儿的必要流程之一),虽然也不能保证百分百地规避风险,但至少设备齐全,医师合格,即使碰上突发情况,也能尽可能减少并发症带来的伤害。
而所有地下卵子交易都是非法的,甚至很多手术都不在正规的医院手术室完成,就连实施手术的人是否有相关行医资质,都得打一个问号。
前两个真实案例里,小陈一次性被取出了21颗卵子,小雨也被取了20颗,她们都经历了多次穿刺,才能取出这么多。
同济大学附属医院生殖医学科纪亚忠主任说,取20颗卵会在卵巢上造成8到10个创口。
出血是穿刺取卵手术最常见的并发症之一。穿刺针接连刺穿阴道、卵巢、卵泡,多次取卵,意味着多次穿刺。
阴道出血和腹腔内出血不可避免。而且血液容易漏到腹腔,甚至胸腔内,引起胸腹水。
除了出血,感染也是一大风险。
根据小雨的描述,她做取卵手术的地点是在公寓楼里,一间私下改造的“手术室”。
左侧是接受过取卵手术的小雨
一边是卫生条件不达标、设备简陋的取卵环境,一边是已经有多处创口的卵巢,两者的叠加,破坏力惊人。
捐卵者常见的感染病症有穿刺局部感染、盆腔炎、重者腹膜炎等,这些感染和炎症,严重的时候会影响今后的生育。
我们看病就医都会好好选一家有资质有口碑的医院,而这些捐卵者为了几万块钱,竟就这样躺在了灯光昏暗的手术台上。
在更多见诸报端的极端例子中,女孩们患上的是卵巢过度刺激综合征,这是由黑中介的“掠夺式取卵”直接导致。
之前有两个台湾的女大学生,相约一起捐卵赚外快,结果差点因此送命。
她们中的一个人在注射排卵针4天后,因为卵巢被过度刺激,腹部肿胀得像一面鼓。被送到急诊室时,她脸色惨白,呼吸困难,连血压都已经量不到了。
正常情况下的卵巢只有鸡蛋大小,
而接受了促排卵治疗后,卵巢会被撑大。
被取21颗卵子的17岁少女小陈,就因为过度取卵,卵巢肿成了猪心那么大。这一病变导致她身体循环不畅,内部开始出血,继而引发休克。
其实,正规的试管婴儿取卵手术中,一般只会取8到12颗卵子。但在捐卵者与黑中介的一锤子买卖里,价格是早就谈好的。
所以,对于黑中介来说,被催熟的卵泡越多越好,被取出的个数也是越多越划算。
广州的一个地下卵子交易中介就随意租了一处办公室,来为卖卵的女孩注射促排卵针。
画面里那个举着针头的女子,甚至连穿白大褂伪装一下医生的兴趣都没有,她边跟其他中介聊天,一边为捐卵的女孩们配促排卵的药。
图片来源:潇湘晨报
而她配药的原则是——没有定量,差不多就行了。
配完药后,蓝衣中介对着女孩的肚脐眼右边一针下去,全程看不到任何消毒的操作。而前来打针的女孩们,络绎不绝。
图片来源:潇湘晨报
种种不合规范的促排卵治疗,很容易让身体因为过度注射激素而失衡。
美国一个女生在注射排卵针的第10天,腹部肿得连裤子都穿不下。她仍然天真地以为,只要做了取卵手术,肿胀就会消失。
但下了手术台才3个小时,她又被抬进了医院,这时候她的腰围已经从原先的71厘米,暴涨到了104厘米。膨胀到柚子那么大的卵巢,彻底把腹腔里的其他器官挤到一旁。
在捐卵地下黑中介眼里
卵子就是可倒卖的稀缺商品
之所以有这么多触目惊心的案例,归根结底是受利益驱使。
商业化的卵子交易在我国是非法的。
根据卫生部《人类辅助生殖技术与人类精子库校验实施细则》等相关规定,严禁任何形式的商业化赠卵和供卵行为。所以,一切从事卵子交易的,无论是个人、中介、亦或是医疗结构,都是违法行为。
而赠卵只限于人类辅助生殖治疗周期中剩余的卵子。用大白话说就是,合法的卵子只能来自那些本来就要做试管婴儿的妇女,只有在她们有多余的卵子,且愿意捐赠的时候,这颗卵子才是合法的。
而目前我国的育龄夫妇中,不孕不育患者发病比例从1989年的3%,上升到了2009年的12.5%—15%,有超过5千万人被确诊为不孕不育。
一面是缺乏供给渠道的“合法卵子”,另一面是巨大的卵子需求,供需之间的裂口催生了非法采供卵的黑市。
黑中介们以1到10万不等的价格,从涉世未深的女孩们的身体里取出卵子,再高价卖给那些渴望有小孩的夫妻。
媒体曾报道过,一些在广州的供卵代孕黑中介开价120万,承诺“包男孩”。这个价格包含了卵子、代孕和堕胎服务(如果胎儿是女孩的话)。
有个中介说,他手里有个做代孕的,运气不好,连续4次都被检查出怀的是女孩,但客户要的是男孩。所以只能怀一次,打一次,直到第5次检测出是男孩。
如果不限定孩子性别的话,最少也要40万。
表面上打着“慈善”、“捐赠”的旗号,实际上干的还是牟取暴利的活儿,这些地下中介赚的都是最黑心的钱。
为了迷惑20多岁的小姑娘,黑中介们开发了一套全方位的洗脑策略和话术,来掩盖他们的犯罪事实。
那些ID里带着“爱心捐卵”关键词的机构号微博里,置顶微博挂的是让女孩们安心的科普。但科普视频里所说的“无痛取卵”指的是正规流程操作,并非黑中介所提供的手术。
对于取卵的并发症或不良反应,则轻飘飘地一句话带过。
除此之外,这些黑中介还时不时发一些带着女孩吃饭,去高铁站接女孩,去银行给女孩们取钱发报酬的照片或视频,显得特别人性化、服务化、讲诚信。
除了这种伪装,黑中介们还学会了“穿马甲”。
如果一个对捐卵小广告动心的女孩去搜“捐卵是种怎样的体验?”,她可能会看到一些网友以“过来人”的身份,诉说捐卵是种怎样轻松的活儿——旅趟游就把钱赚了。
如果再去搜“捐卵的危害有多大?”,她可能会看到另一个“过来人”长篇大论地驳斥捐卵风险论。
明眼人都能看出来,这是黑中介的花式“表演”。但真的有人相信了,心动了。纷纷给答主发私信,要联系方式。
多年前,我们听过少年卖肾买iPhone的故事,到了现在,类似的悲剧仍在上演。
对普通人来说,联系一家地下捐卵机构并不困难。街上、栏杆、教室抽屉里,到处都能找到他们的联系方式。
这也意味着,被哄骗、诱惑的女孩的数量,不可估算,也许你身边就有。
黑中介的宣传营销口号浸润着利益熏心的味道,什么都是无痛,什么都是高回报。它们精准地抓住了一些人想要“走捷径”的想法。
作为旁观者,我们见了太多的“少女为2.5万元卖卵20颗”的故事。我们不用过于苛责她们对金钱的渴望,因为她们也是受害者。
她们只是太年轻,不知道所有命运赠送的礼物,早已在暗中标好了价格。
我希望,有更多人能了解到捐卵黑市的存在,看到黑中介“杀人取卵”的嘴脸。
你的一次转发,也许就拉住了一个被迷惑的懵懂少女。